症例
HOME > 症例
adult case
大人症例
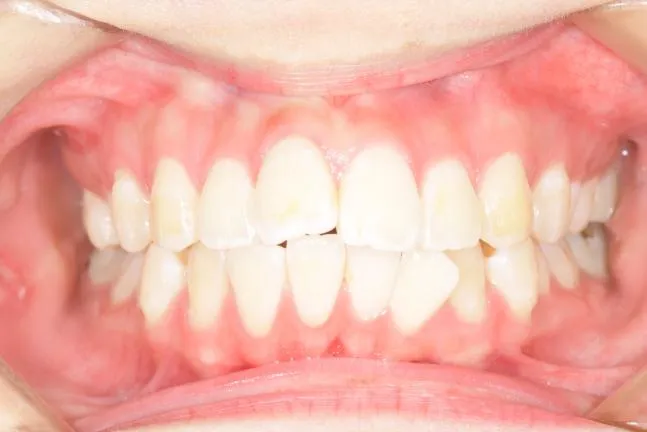
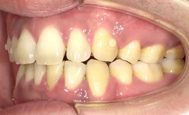
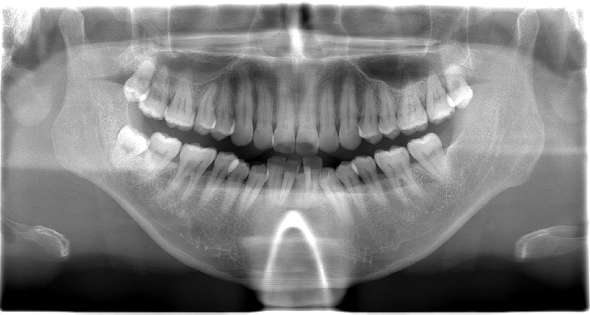
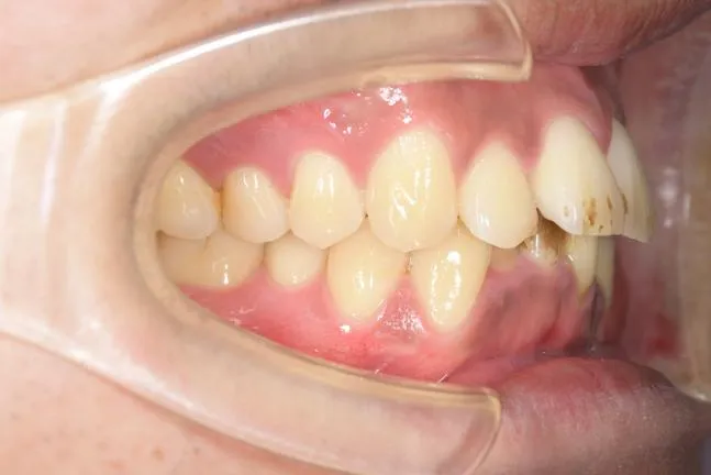
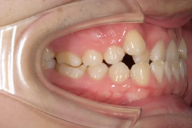
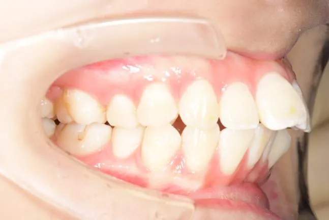
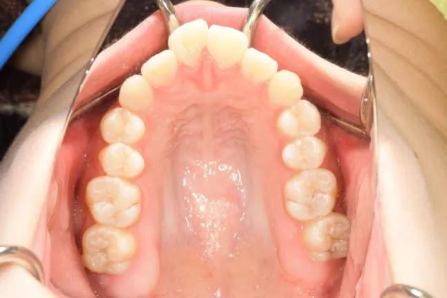
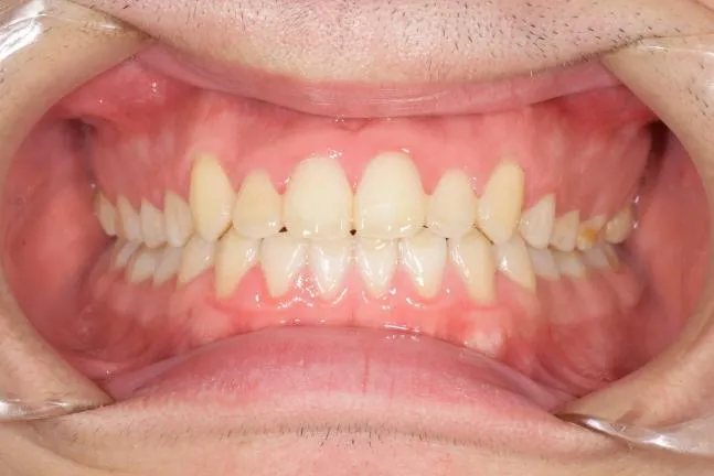
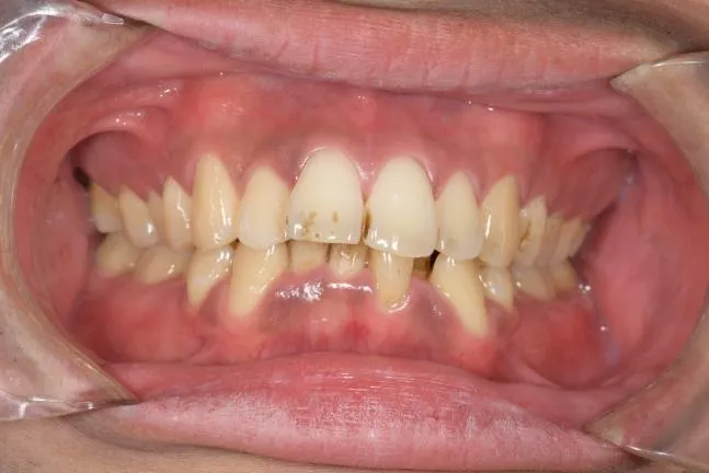
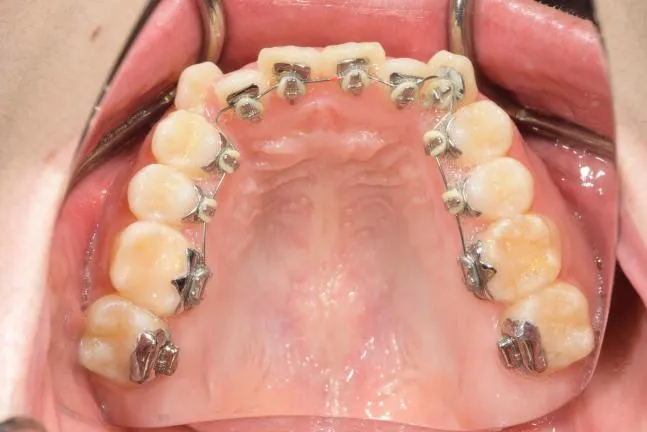
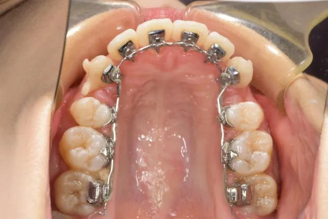
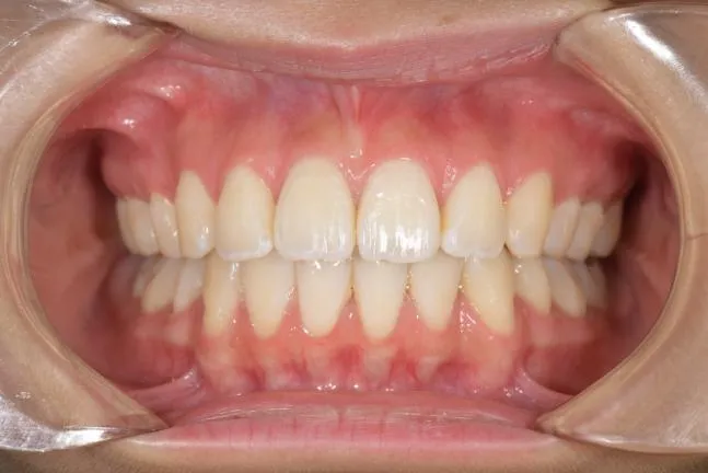
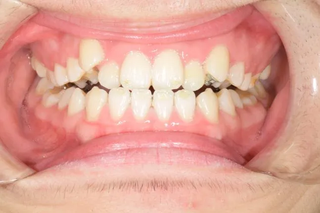
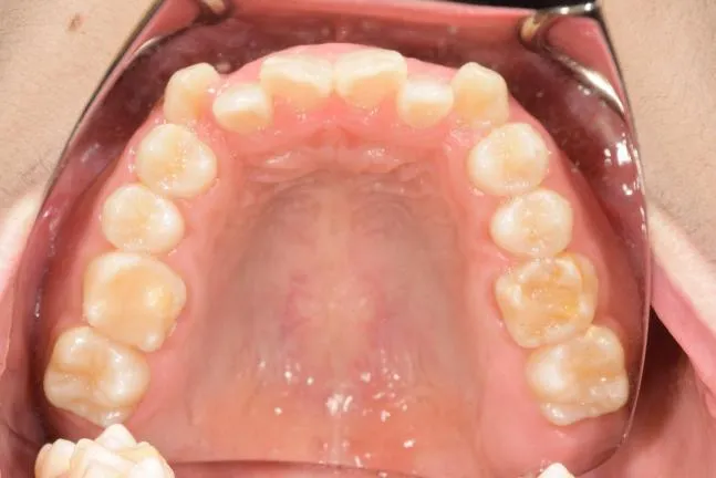
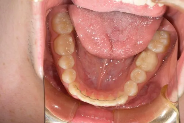
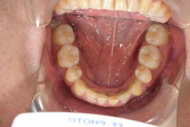
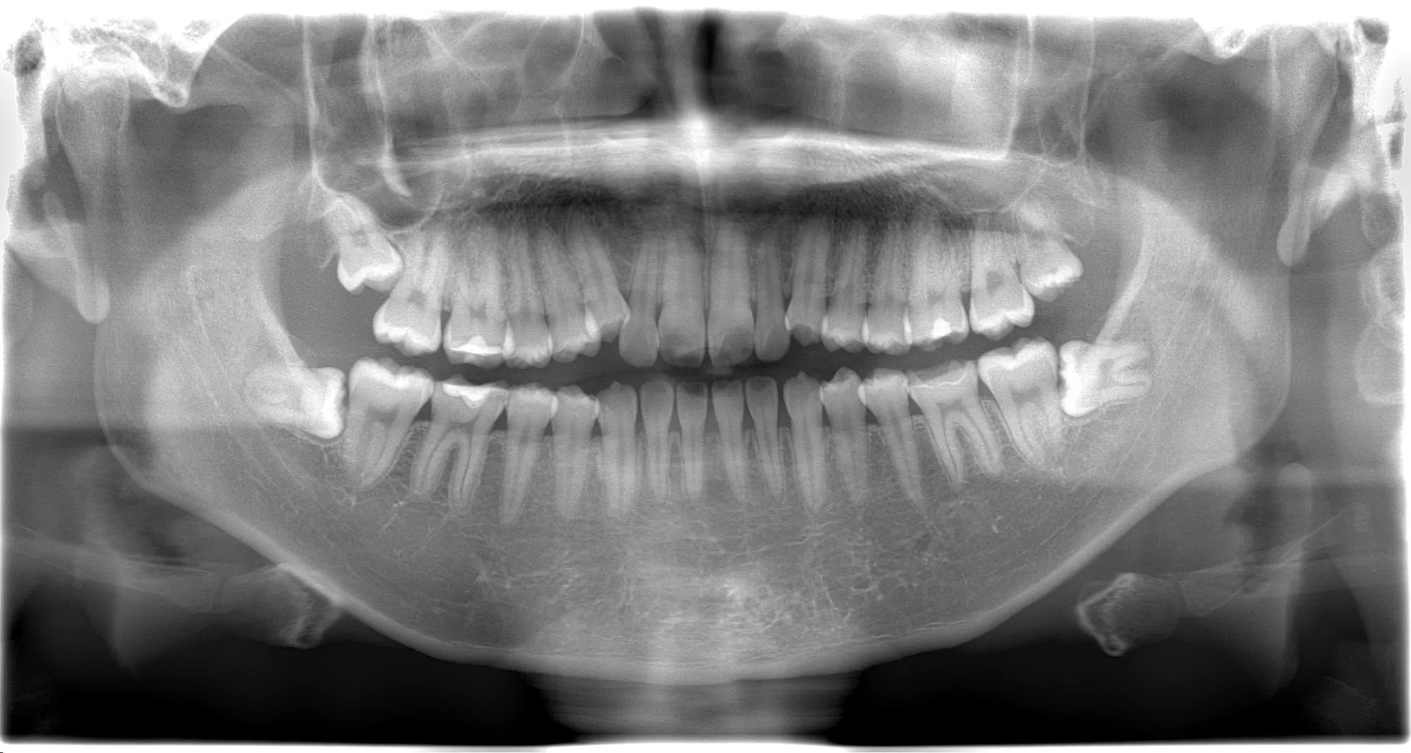
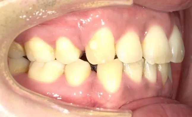
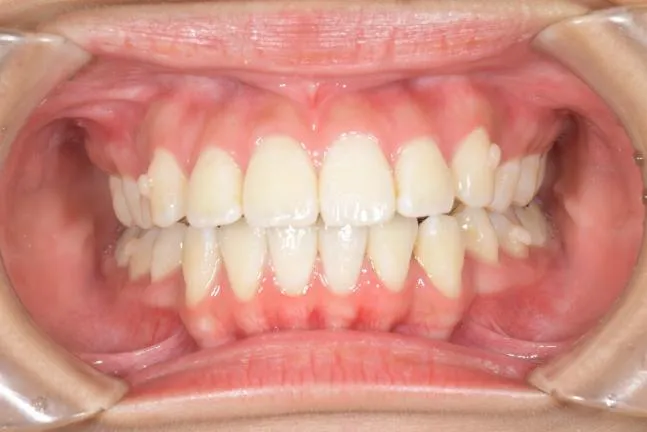
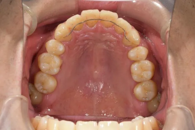
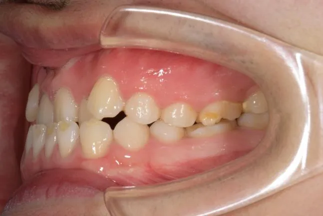
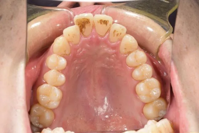
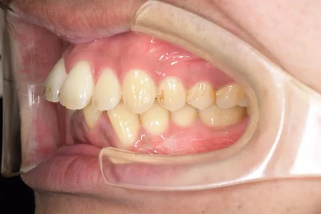
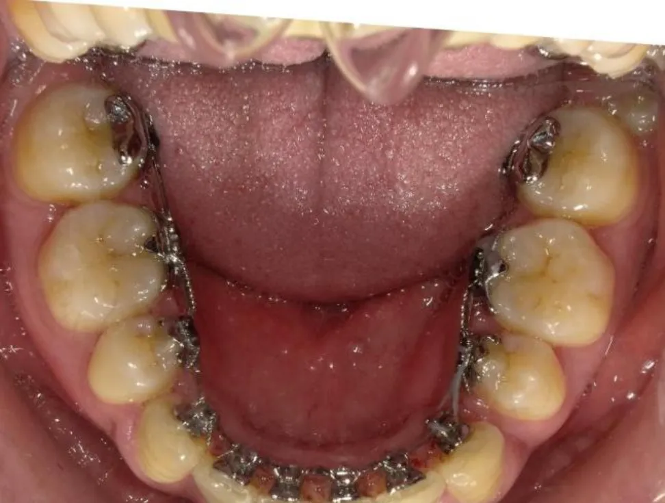
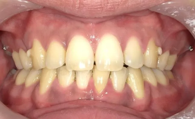
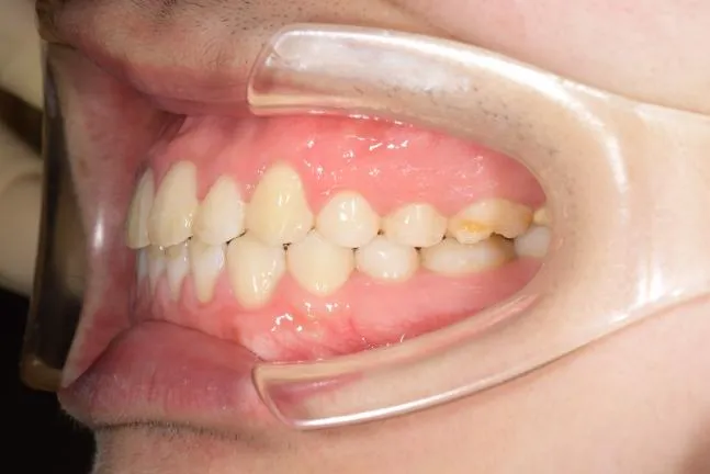
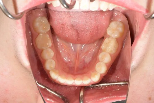
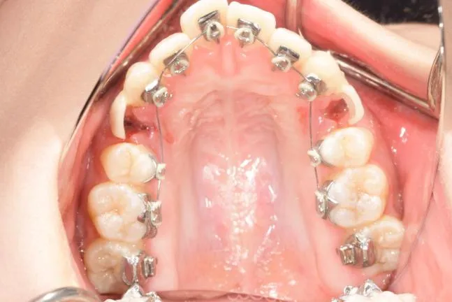
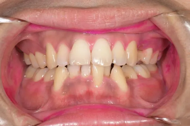
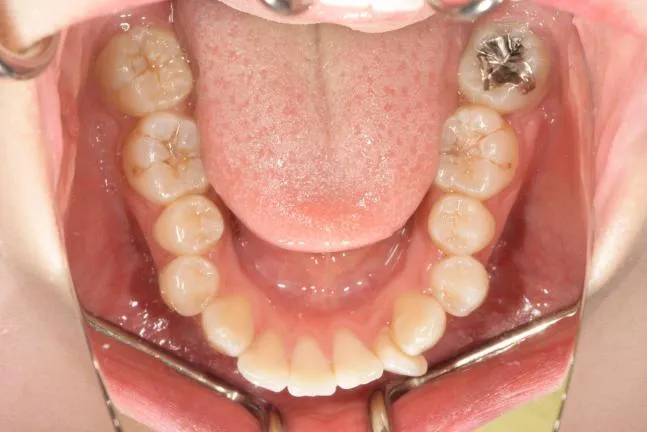
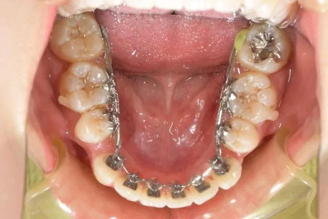
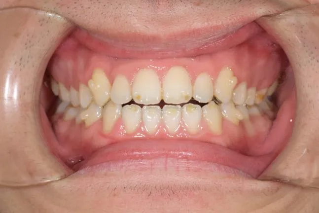
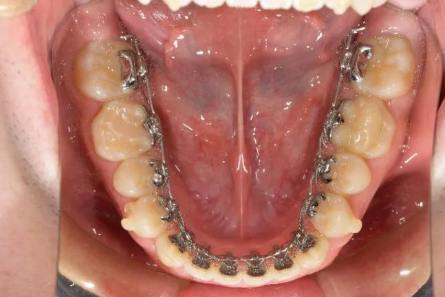
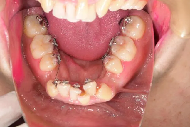
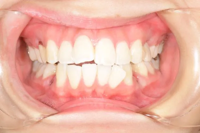
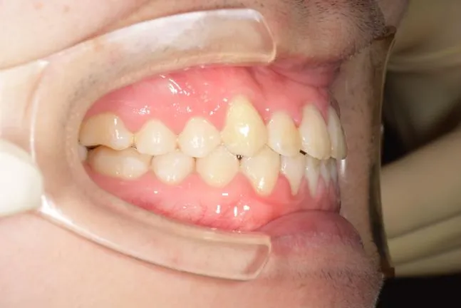
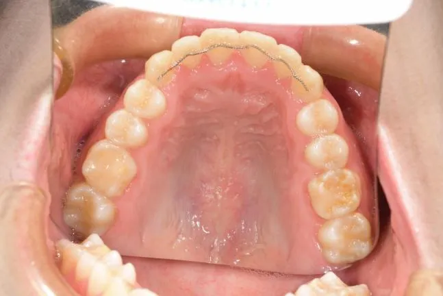
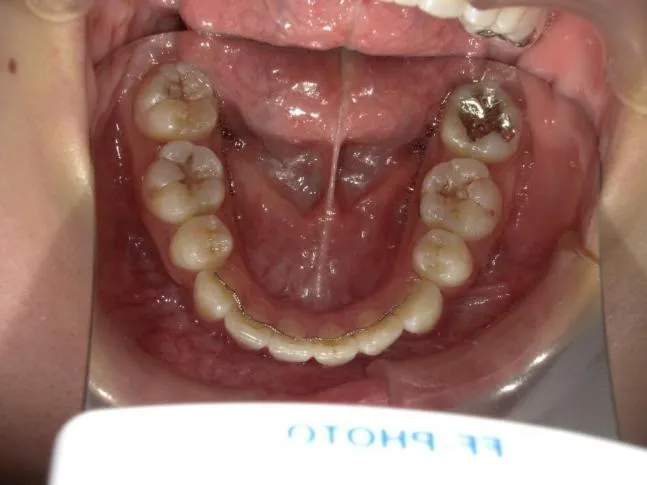
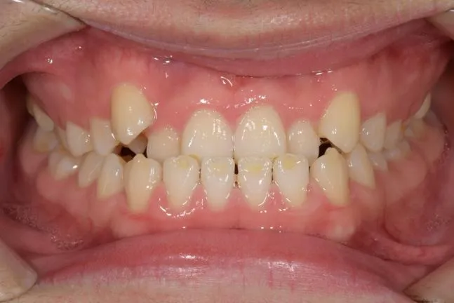
症例1:上顎前突と上下の咬合矯正
2018年3月5日
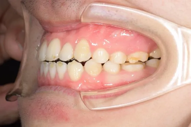
2018年3月5日
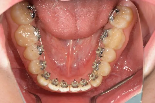
2018年6月8日
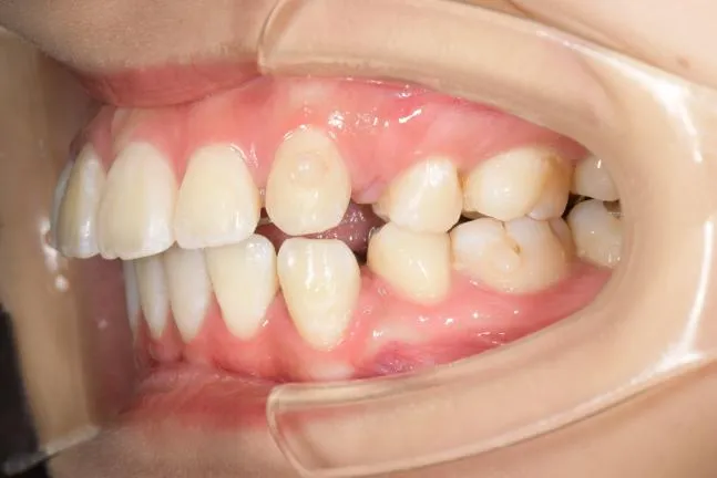
2019年4月20日
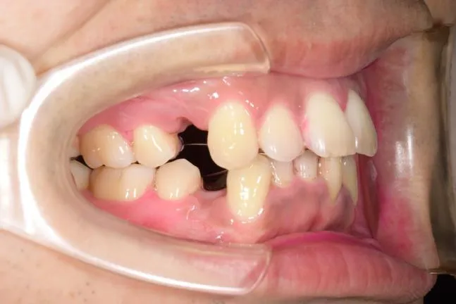
2021年6月27日
| 主訴 | |
|---|---|
| 診断と治療法 | |
| 治療期間 | 2018年3月~2021年6月 |
| 費用 | |
| リスク | |
| 担当医コメント |
症例2:
2018年2月13日
2018年2月13日
2018年6月6日
2019年2月6日
2019年7月9日
| 主訴 | |
|---|---|
| 診断と治療法 | |
| 治療期間 | 2018年2月~2019年7月 |
| 費用 | |
| リスク | |
| 担当医コメント |
症例3:
2019年3月15日
2019年3月15日
2019年5月31日
2021年8月10日
2022年7月26日
| 主訴 | |
|---|---|
| 診断と治療法 | |
| 治療期間 | 2019年3月~2022年7月 |
| 費用 | |
| リスク | |
| 担当医コメント |
child case
子ども症例
現在準備中です。
